Featured

How Do Dental Implants Work?

Dental implants are unlike any other restoration. Other prosthetics attach to neighboring teeth or the surface of your gums. While many people’s oral needs are served by dental bridges and dentures, the prosthetics never fully replace the feeling and function of natural teeth.

Only restoration that functions like a natural tooth are dental implants. The key to the stability of this tooth-replacement option is the titanium post that is placed in your jawbone near the location of your missing tooth root. The implant replaces the tooth root.

This restorative treatment gives many health benefits. Roots of tooth promote bone growth and help prevent jawbone atrophy. If you have one or more missing teeth and have not sought dental implants, you are in danger of losing precious jawbone density.

Over time, the loss of jawbone tissue can complicate your candidacy for receiving dental implants. If you recently lost a tooth or are about to undergo a tooth extraction, you should consider dental implant.

READ MORE:

CORONAVIRUS AND DENTISTRY

WHAT IS CORONAVIRUS?

Coronaviruses (CoV) are a large family of viruses that cause illness ranging from the common cold to more severe diseases such as Middle East Respiratory Syndrome (MERS-CoV) and Severe Acute Respiratory Syndrome (SARS-CoV).

Coronavirus disease (COVID-19) is a new strain that was discovered in 2019 and has not been previously identified in humans. The new virus is dangerous – so far, around 20 per cent of confirmed cases have been classed as severe or critical. So far, around 15 to 20 per cent of hospital cases have been classed as “severe” and the current death rate varies between 0.7 per cent and 3.4 per cent depending on the location and, crucially, access to good hospital care.

This is much lower than fatality rates for Mers (30 per cent) and Sars (10 per cent), but still a significant threat.

HOW DOES IT SPREAD?

Like cold and flu bugs, the virus is spread via droplets when a person coughs or sneezes. The droplets land on surfaces and are picked up on the hands of others and spread further. People catch the virus when they touch their infected hands to their mouth, nose or eyes.

WHAT ARE THE SYMPTOMS?

COVID-19 symptoms range from mild to severe. It takes 2-14 days after exposure for symptoms to develop. Symptoms may include:

  • Fever (The Centers for Disease Control considers a person to have a fever when he or she has a measured temperature of at least 100.4 °F [38 °C])
  • Cough
  • Shortness of breath

Those with weakened immune systems may develop more serious symptoms, like pneumonia or bronchitis. You may never develop symptoms after being exposed to COVID-19.

WHO declared COVID-19 a pandemic on March 11, pointing to “alarming levels” of spread, severity and inaction

WHAT PRECAUTIONS SHOULD YOU TAKE?.

WHO and CDC recommend following these precautions for avoiding COVID-19:

  • Avoid large events and mass gatherings.
  • Avoid close contact (about 6 feet) with anyone who is sick or has symptoms.
  • Keep distance between yourself and others if COVID-19 is spreading in your community, especially if you have a higher risk of serious illness.
  • Wash your hands often with soap and water for at least 20 seconds, or use an alcohol-based hand sanitizer that contains at least 60% alcohol.
  • Cover your mouth and nose with your elbow or a tissue when you cough or sneeze. Throw away the used tissue.
  • Avoid touching your eyes, nose and mouth if your hands aren’t clean.
  • Clean and disinfect surfaces you often touch on a daily basis.

WHO also recommends these steps:

  • Avoid eating raw or undercooked meat or animal organs.
  • If you’re visiting live markets in areas that have recently had new coronavirus cases, avoid contact with live animals and surfaces they may have touched.

HOW DOES THE CORONAVIRUS AFFECT YOUR DENTAL VISIT?

Dentists around the world have been advised to stop all elective procedures by regulatory bodies.

Only emergency dental procedures will be provided.

This is being done to safeguard the dentist, the dental staff and most importantly the patient

Avoid visiting a dentist till it is absolutely necessary such that there is no crowding in such places and social distancing should be maintained.

The dental drill when used causes the production of aerosols. The virus may thus remain suspended in air. Also the saliva or blood may splatter and land on surfaces where it may survive and cause the infection if anyone accidently comes in contact with this splatter.

WHAT CONSTITUES A DENTAL EMERGENCY?

Swelling or infection that may cause breathing difficulties

SEVERE TOOTH ACHE
DENTAL INFECTION
KNOCKED OUT TOOTH
TRAUMA

ITS Dental College, Greater Noida, urges you to be safe during this time of pandemic and requests you to stay calm, not panic and follow advisories.

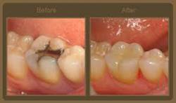
DENTAL CARIES

DENTAL CARIES

WHAT IS DENTAL CARIES?

Dental caries is an infectious microbiological disease that affects both soft and hard tissue of the teeth. It leads to the formation of small holes in the teeth and makes it week and prone to infections

Image result for dental caries

CAUSATIVE FACTORS

There are 4 main things that may lead to caries

1.Microorganisms: The presence of certain bacteria in the mouth leads to caries. Different microorganisms are responsible for the initiation and propogation of caries.

2. Substrate: Carbohydrates. Foods rich in carbohydrates eg sugars are acted upon by the bacteria and acids such as lactic acid are released. This acid causes the demineralization of teeth.

3. Host: The individuals teeth, whether they are crowded or not, type and flow of saliva, etc

4. Time: till which all factors are in contact.

Image result for neubrun tetrad

SYMPTOMS

-Begins as the presence of discolouration on the tooth surface. If left unchecked it may lead to formation of holes on the teeth (cavitation)

-Sensitivity to hot and cold

-Pain

-Swelling and abscess formation

TREATMENT

If the cavity is only on the superficial layers, a simple filling suffices.

If the bacteria have now reached the pulp, pulp therapy will have to be initiated.

PREVENTION

-Maintenance of oral hygiene

-Age appropriate brushing techniques, twice a day.

-Rinsing mouth after every meal

-Avoiding sticky and refined sugary foods

-Using fluoridated toothpastes and mouth washes.

Pulpectomy procedures

WHAT IS PULPECTOMY??
Every human tooth has three parts in the crown (part visible in the oral cavity)- hard tissue structures called the enamel and dentin and a soft tissue pulp on the inside. Correspondingly, the root of the tooth has two hard tissues known as the cementum and dentin and a soft tissue

While the enamel , cementum and dentin on the outer layers of the teeth are tough and lifeless, the pulp inside is soft, living, highly sensitive and consists of nerves and blood vessles which provide nutrition and vitality to the tooth.
When the outer layers of the tooth are damaged, it is possible for the pulp inside to become infected. In some cases to save the tooth, it may be required that the pulp be removed. This procedure of removal of infected pulp, cleaning of the pulp canals and then filling it with a suitable resorbing material in a milk tooth is known as pulpectomy.

WHAT HAPPENS DURING TREATMENT?
A pulpectomy is similar to a root canal treatment and is actually typically a part of the root canal process. After a Pedodontist removes the damaged pulp from the tooth, the area inside the tooth is disinfected and then filled with an inert material.

WHO IS THE TREATMENT FOR?
Often, a pulpectomy is performed on a milk or deciduous tooth. The roots of baby different from the roots of permanent teeth. Milk teeth have shorter roots that are eventually reabsorbed by the body. The reabsorption of the roots allows the teeth to fall out and be replaced by the permanent ones. Since the roots of baby teeth are resorbed, a pulpectomy procedure typically uses a material that can be resorbed at a similar rate to fill in the empty canal area, according to the American Academy of Pediatric Dentistry.


CAN’T THE TOOTH JUST BE PULLED OUT?
There are two scenarios whereby the tooth may be pulled out instead of undergoing a pulpectomy procedure.

  1. The tooth is close to naturally falling off and the permanent successor is about to erupt
  2. The tooth is grossly destroyed and cannot be saved even with a pulpectomy.
    In all other scenarios, if indicated the pulpectomy procedure should be performed such that there is no loss of space in the jaws, there is proper development of speech and felicitation of mastication.

WHAT AFTER PULPECTOMY?
In case of teeth in the back of the jaws, a pulpectomy procedure is followed by the placement of a crown. These may be stainless steel or zirconia crowns. Placement of a crown helps to provide strength to the tooth and allows it to withstand the forces of chewing without fracture.
These teeth usually exfoliate on their own, allowing the permanent tooth to erupt in its correct procedure.

ITS Dental College, Hospital and Research Centre has a dedicated department of Pedodontics whereby all such procedures for your little one are performed by expert dentists with the utmost precision and care.

Source: https://www.colgate.com/en-us/oral-health/life-stages/infant-kids/what-is-a-pulpectomy-0117

The Five Types Of Teeth

The importance of teeth in our lives cannot be overlooked. From helping us chew our food to giving us that perfect smile, our teeth play an important role!

We delve into the types of teeth and their functions in this blog post!

Primary dentition:

Children have 20 teeth that are called milk teeth. These start erupting around 6 months of age and the entire set of milk teeth completely erupt by around 3 years.

These are the

1. Incisors: 8

2. Canines: 4

3. Molars: 8

Image result for milk teeth

PERMANENT DENTITION:

The permanent teeth start erupting around 6 years of age and all permanent teeth finish erupting by 12-13 years of age, apart from the third molars or wisdom teeth which can erupt around 18-25 years.

The permanent teeth are 32 in number. These are:

1. Incisors: 8

2. Canines: 4

3. Premolars: 8

4. Molars: 12

Image result for permanent teeth

Cafe Infinity

Cafe Infinity located at ITS Dental College, Greater Noida is designed using 9X40 footer shipping containers, to be used as a recreational space for
students, faculty and patients alike. The vision was to design a sustainable structure that goes beyond the conventional and pushes the boundaries of design and build form.
Recycled shipping container, being a sustainable product, was a perfect fit due to its modularity as well as economic feasibility as compared to the conventional RCC structure.

The cafe is designed to stand out due to its form factor, and also in terms of its positioning, breaking the rigidity of the existing site layout. Focusing on the outer structure and containers’ industrial form factor the interior is kept neutral.

WHY INFINITY?
The idea of using infinity was conceived to emphasize on the infinite possibilities of using a shipping container as a structural unit, regardless of the building type and site. The flexibility, modularity and sustainability makes shipping containers a perfect alternate to the conventional building structures (RCC), to reduce the overall carbon footprint while also being an ecologically and economically viable solution.
The design idea centres around two courtyards which comprises of two cafe outlets in the front, two dynamic staircases acting as seating and providing access to the viewing decks. The seating is centered around the courtyard and provides an ideal view point of the inner
courtyards and the outer landscape, which is often utilized for sporting events as well as other activities of the institute.
The organic landscape layout complements the rigid geometry of the containers and provides fluidity to the site circulation. Large glazing of staircases merge
the rigid build form with the landscape. The landscape complements the industrial nature of the architecture, but also promotes activity, and consequently, vibrancy to the entirety of the site.
The building is formed with the use of recycled shipping containers (40 feet) that were crafted with the careful consideration to preserve its raw and industrial form. The structure, services and functionality are designed with
a focus on sustainability. Passive cooling and insulation is provided with the use of 50 MM rockwool insulation,
gypsum panelling, fibre cement board for rooftop flooring, tinted windows, mechanical cooling, strategic placement of windows and openings to make the building perfectly adequate in the extreme weather conditions of the site.
Louvers made of reused shipping container doors located in the south direction minimize the heat gain as well as give privacy from the public hospital.

Picture

WHY SHIPPING CONTAINERS ARE THE FUTURE?

  • Strength: Made with weathered steel, shipping containers can withstand most natural events and heavy weather.
  • Green: There are millions of shipping containers in the world, but only a fraction of them are used actively. For each 40 ft shipping container, you are reusing more than 8,000 pounds of steel.
  • Cost Efficient: Utilizing recycled containers save money and time during construction making them economically feasible than the alternate.
  • Modular: All shipping containers have standard height and length measurements and as such they provide modular elements that can be combined into larger structures.
    —Architect: Ar. Rahul Jain
Picture

LEARN MORE

INFANT ORAL HEALTH CARE

Image result for happy baby

‘A baby’s smile is a bit of sunlight wrapped in your arms’ and it is the job of pediatric dentists to protect this beautiful smile. It is imperative that care givers and parents work together with Pedodontists to ensure proper oral hygiene for the infant.

Here are a few tips to ensure your child’s oral hygiene:

Image result for baby at dentist

1. Early visit to a pediatric dentist: The American Association of Pediatric Dentistry advises that every infant should receive an oral health risk assessment from his/her primary health care provider or qualified health care professional when the child’s first tooth erupts, around 6 months of age or latest by the child’s first birthday.

This initial assessment helps to

-Evaluate the patient’s risk of developing oral diseases of soft and hard

  tissues.

-Evaluate the risk of developing cavities

-Provide education on infant oral health

-Evaluate and optimize fluoride exposure

Image result for dental home

2.Establishment of a dental home: A dental home is the concept of an ongoing relationship between the parents and the dentist. This should be established by 12 months of age. The visits should include

-Thorough medical (infant) and dental (parent and infant) histories

 -Thorough oral examination

-Age-appropriate tooth brushing demonstration

 -Fluoride varnish treatment if indicated

-Advising for periodic re-evaluation

-Referrals to the appropriate health professionals if necessary.

Image result for teething child

3.Teething: Teething can lead to intermittent localized discomfort in the area of erupting primary teeth, irritability, and excessive salivation; however, many children have no apparent difficulties. Treatment of symptoms includes oral painkillers and chilled rings for the child to chew on.

Image result for child brushing

4.Oral hygiene: Oral hygiene measures should be implemented even before the teeth erupt. A sterile cloth, dipped in clean water should be used to wipe the baby’s gums and tongue after every feed. Brushing should be initiated no later than the time of eruption of the first primary tooth. Cleaning the infant’s teeth as soon as they erupt with a soft toothbrush will help reduce bacterial colonization. Tooth-brushing should be performed for children by a parent twice daily, using a soft toothbrush of age-appropriate size. Flossing should be initiated when adjacent tooth surfaces cannot be cleansed with a toothbrush.

Image result for child with bottle

5.Diet: Human milk and breast-feeding of infants provide general health, nutritional, developmental, psychological, social, economic, and environmental advantages while significantly decreasing risk for a large number of acute and chronic diseases. Human breast milk is uniquely superior in providing the best possible nutrition to infants and has not been associated with caries. Frequent night time bottle feeding with milk is associated with early childhood caries. Night time bottle feeding with juice and frequent in between meal consumption of sugar-containing snacks or drinks (eg, juice, formula, soda) increase the risk of cavities.

Image result for fluoride

6. Fluoride: Optimal exposure to fluoride is important to all infants and children. Decisions concerning the administration of fluoride are based on the unique needs of each patient. The use of fluoride for the prevention and control of caries is both safe and effective. Professionally-applied topical fluoride, such as fluoride varnish, should be considered for children at risk for cavities. Systemically-administered fluoride should be considered for all children at risk who drink fluoride deficient water

Image result for child mouth guard

7. Injury prevention: Practitioners will provide age-appropriate injury prevention counseling for oro-facial trauma. Initially, discussions would include play objects, pacifiers, car seats, and electric cords, which will include aspects on both prevention and management.
The use of properly fitted mouth guards in other organized sporting activities that carry the risk of orofacial injury should be mandatory.

Image result for thumb sucking

8.Nonnutritive habits: Nonnutritive oral habits (e.g, finger or pacifier sucking, bruxism, and abnormal tongue thrust) may apply forces to teeth and oral structures. It is important to discuss the need for early sucking and the need to wean infants from these habits before the teeth get mal-aligned.

ITS Dental Hospital, Greater Noida has an entire department dedicated to pediatric dentistry. Our Pedodontists are skilled and equipped to provide the best possible advice and treatment for your tiny tots!!

SPACE MAINTAINERS

A milk tooth usually stays in the mouth till it’s time for its permanent successor to erupt. If a child’s tooth has come out too soon, either due to some injury or due to cavities, it becomes important to maintain that space such that the permanent tooth may erupt without problems. This maintenance of space is done by an appliance known as the space maintainer.

Space maintainers prevent the movement of the teeth adjacent to the extraction socket. These appliances are custom made by the dentist for each child and are fabricated either with acrylic or with metal wires. These are small and unobtrusive and the child easily adjusts to it.

TYPES:

  • Removable – Removable space maintainers are similar to orthodontic appliances and are usually made of acrylic. In some cases, an artificial tooth may be used to fill a space that must remain open for the unerupted tooth. These can be removed by the patient

Fixed – These cannot be removed by the patient and have wire components.

CARING FOR THE SPACE MAINTAINER

The space maintainer may feel unusual at first. But after a few days, the child probably will forget about it.

A removable space maintainer with replacement teeth can affect speech until your child gets used to it.

If it is removable, the space maintainer should be removed and thoroughly cleaned and stored in water when not worn.

For fixed space maintainers, visit your dentist at regular intervals and ensure that food doesn’t accumulate.

REMOVAL OF SPACE MAINTAINER

The dentist will suggest removing the space maintainer, once the permanent tooth, for which space is being maintained starts erupting.

ITS Dental College has specialized dentists who can diagnose the need for a space maintainer and have the expertise to fabricate these custom space maintainers for your little ones!

LEARN MORE:

AVULSION INJURIES

­WHAT IS AVULSION?

Avulsion injury is a term used to describe a tooth getting completely knocked out of its socket.

WHAT ARE THE CAUSES OF AVULSION?

Collisions and falls

Road Traffic Accidents

Upper front teeth that are protruding

Sporting Activities

WHAT TO DO IF YOU OR SOMEONE YOU KNOW KNOCKS THEIR TOOTH OUT?

Most importantly STAY CALM.

 Find the tooth and make sure you hold it only by the crown (the part visible in the mouth) and place it under running tap water for 10 seconds.

If possible, place it back into the socket in the mouth and try positioning it.

Ask the person to bite down on a clean handkerchief and rush to a dentist.

If it is not possible to replace the tooth at the site of accident, place the tooth in milk and immediately go to a dentist.

The dental surgeon will evaluate the injury and the tooth and if possible will try replanting it in the socket

The treatment and further outcome will depend on whether the root of the tooth is completely formed or not and on how long it has been out of the tooth in dry conditions.

The dentist will then splint the tooth to keep it in the mouth and further plan a root canal treatment.

If  a milk tooth has been knocked out, DO NOT TRY REPLANTING it. This may injure the permanent tooth forming in the bone.

HOW CAN YOU PREVENT SUCH INJURIES?

Certain injuries due to falls and collisions may not be preventable. However injuries occurring due to mal aligned teeth or due to contact sports can be prevented.

Correct your malocclusion by consulting a dentist and reduce the risk for such injuries.

Ensure that protective gear is always worn during sporting activities such as helmets and mouth guards.

ITS Dental College, Greater Noida has specialist dentists adept at handling such emergency situations expertly!

LEARN MORE:

LASERS IN DENTISTRY

WHAT IS LASER DENTISTRY?

The term LASER is an acronym for ‘Light Amplification by the Stimulated Emission of Radiation’ and has been used in dentistry since 1960. The instrument creates light energy in a very narrow and focused beam. This laser light produces a reaction when it hits tissue, allowing it to remove or shape the tissue.

HOW MANY TYPES OF LASER ARE THERE?

Lasers used in dental practice can be classified by various methods: 

According to the lasing medium used, 

 Gas laser 

 Solid laser

 According to tissue applicability, 

Hard tissue : Used on the tooth structures

Soft tissue: Used on the gums, gingiva, tongue, etc

Design a site like this with WordPress.com
Get started